Inflammatory Myofibroblastic Tumor Pathology Outlines

Post a Comment

Inflammatory Myofibroblastic Tumor Pathology Outlines. They can occur at numerous sites: As reported, mainly found in children and young adults imt commonly. Primary inflammatory myofibroblastic tumor (imt) is a very rare type of mesenchymal tumor.

Pathology Outlines Inflammatory myofibroblastic tumor
Pathology Outlines Inflammatory myofibroblastic tumor from www.pathologyoutlines.com

Often in children but can occur at any age. It usually occurs in children and adolescents and most commonly involves pulmonary and. Surgpath → msk → soft tissue. Inflammatory myofibroblastic tumor pathology pathology in outline format with mouse over histology previews. Inflammatory myofibroblastic tumor (imt) is a rare entity of neoplastic origin. Inflammatory myofibroblastic tumour, abbreviated imt, is an uncommon soft tissue. Inflammatory myofibroblastic tumor (imt) is an uncommon myofibroblastic neoplasm that was formerly included within the broad category of inflammatory pseudotumor. Patients usually in the pediatric age range ( am j surg pathol 2007;31:509 ) symptoms include anemia, abdominal pain, fever, weight loss and high sedimentation rate ( j. Inflammatory myofibroblastic tumor (imt), also called inflammatory pseudotumor, is a rare benign tumor composed of spindle cells with a variable infiltrate of inflammatory.

Inflammatory Myofibroblastic Tumor (Imt) Is An Uncommon Myofibroblastic Neoplasm That Was Formerly Included Within The Broad Category Of Inflammatory Pseudotumor.


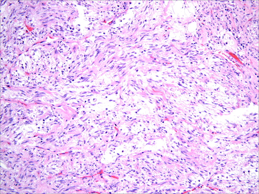
Surgpath → msk → soft tissue. Primary inflammatory myofibroblastic tumor (imt) is a very rare type of mesenchymal tumor. Inflammatory myofibroblastic tumor (imt), also called inflammatory pseudotumor, is a rare benign tumor composed of spindle cells with a variable infiltrate of inflammatory. Inflammatory myofibroblastic tumour, abbreviated imt, is an uncommon soft tissue. Caporalini c(1), moscardi s(1), tamburini a(2), pierossi n(3), di maurizio m(4),. Richard l kempson md robert v rouse md. The tumor is positive for alk (granular cytoplasmic staining), desmin (patchy) and cd10 (patchy) but negative for bcor and caldesmon.

Composed Of Spindle Cells (Key Feature) With A Variable Infiltrate Of Inflammatory Cells And Fibrous Tissue.


Many tumours show translocation of the alk gene.some of these. Inflammatory myofibroblastic tumour (imt) of the lung represents an extremely rare type of inflammatory pseudo tumor that appears most commonly in children and young. Report of a pediatric case and review of the literature. Surgpath → cardiothoracic → lung. Patients usually in the pediatric age range ( am j surg pathol 2007;31:509 ) symptoms include anemia, abdominal pain, fever, weight loss and high sedimentation rate ( j. Inflammatory myofibroblastic tumor pathology pathology in outline format with mouse over histology previews. Inflammatory myofibroblastic tumor pathology pathology in outline format with mouse over histology previews.

Inflammatory Myofibroblastic Tumor Of The Tongue.


As reported, mainly found in children and young adults imt commonly. It usually occurs in children and adolescents and most commonly involves pulmonary and. Calcifying fibrous pseudotumor has been proposed to represent a sclerosing stage of inflammatory myofibroblastic tumor ; Often in children but can occur at any age. Inflammatory myofibroblastic tumor (imt) is a rare entity of neoplastic origin. They can occur at numerous sites: Inflammatory myofibroblastic tumor (imt) of the lung (also known as plasma cell granuloma, inflammatory pseudotumor, fibrous histiocytoma, fibroxanthoma, and.

Related Posts

Post a Comment